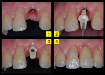
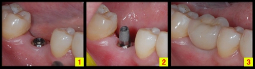
1、单牙缺失 不必磨损两侧健康牙齿来固定假牙,利用人工牙根代替失去了的天然牙根固定假牙。

▲ 前单牙种植修复

▲ 后单牙种植修复
2、多牙缺失 种植牙是缺牙修复的好选择,如果您的骨质条件和经济状况允许,可以缺多少颗牙就种多少颗牙,也可以只种几颗人工牙根作桥基,采用种植固定桥修复,避免了磨除健康牙来作固定桥或活动义齿修复带来的不舒适性,欠美观性和低咀嚼效率等问题。

▲ 多牙种植修复
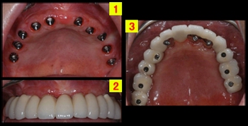
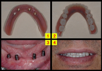
3、全口牙缺失 如果您的颌骨条件和经济能力允许,可以尽可能多种几颗人工牙根,采用种植固定桥来修复全口失牙。植入的人工牙根不仅起到支持假牙的作用,而且可防止颌骨的进一步萎缩,如失牙时间太长,软硬组织已严重萎缩,单纯修复失牙不可能恢复面颌部的丰满度;或因经济等原因不能植入足够多的人工牙根,则可选择种植覆盖义齿修复。这种方式可利用覆盖义齿的基托来恢复面颌部的丰满度,另外,可种入较少的种植体完成全口牙修复。

▲ 全口种植固定修复

▲ 种植覆盖义齿修复